Orthodontics has advanced tremendously over the years! With expansion devices, we can now offer our patients non-surgical and minimally invasive upper jaw expansion—quickly and easily. This allows Dr. Toro to:
- Improve airway blockages and expand the palate (roof of the mouth), creating more space for the tongue
- Open the nasal cavity for better breathing, both day and night
- Correct dental crossbites
- Decrease the need for extracting permanent teeth once the jaw is expanded and more room is available for teeth to erupt properly
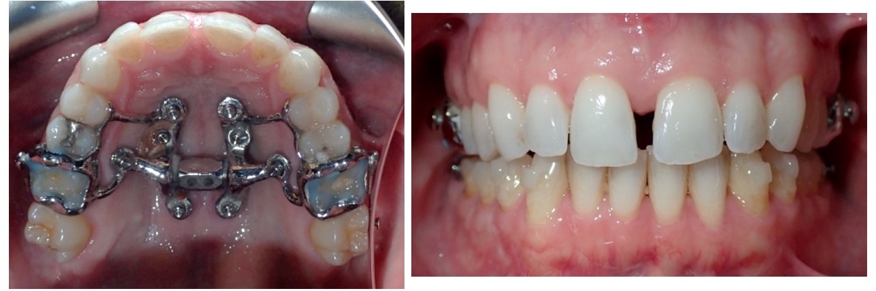
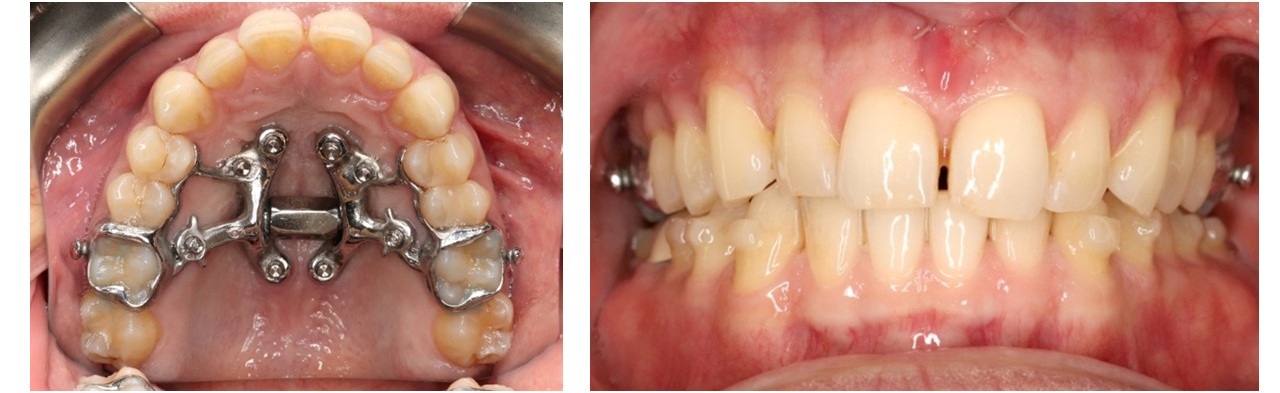
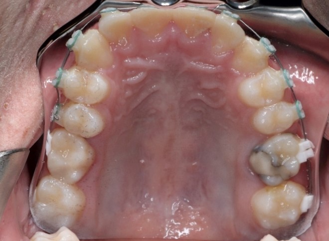
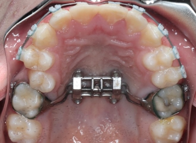
The Miniscrew-Assisted Rapid Palatal Expansion, known as MARPE; the Maxillary Skeletal Expander, known as MSE; or the TAD-supported palatal expander is placed in the office with minimal discomfort. Changes can be seen quickly, often within just a few weeks. We work with a specialized lab to select the right expander and digitally design each case to meet each patient’s specific needs.
The term MARPE is currently transitioning to MASPE (Miniscrew-Assisted Slow Palatal Expansion), as current protocols now recommend slower expansion for greater predictability. This approach also helps reduce the diastema, or space, that commonly forms between the two front teeth.
We are so happy and honored that patients from all over New England come to see us to begin their airway journeys with us!
Expansion appliances work best while children are still growing. This is one reason the AAO (American Association of Orthodontists) recommends that all children be evaluated by age seven. We are very proud to routinely see 4-, 5-, and 6-year-olds every week. We understand how important it is to start addressing these concerns early to allow little faces to GROW, SLEEP, and LEARN better.
Contact our office today to learn more about MARPE or to have your child evaluated for airway obstruction that may be contributing to skeletal growth and breathing issues.
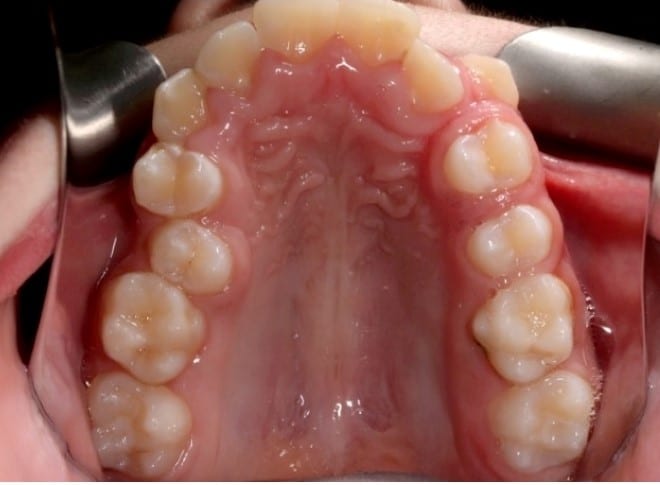
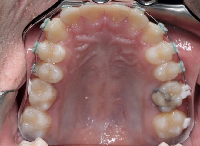
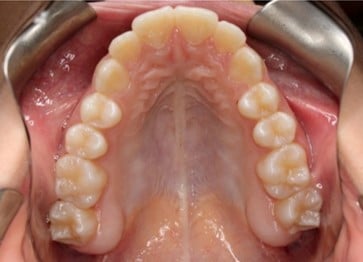
Patient 1 (MSE)
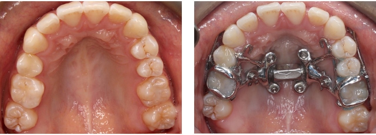
Patient 2
Patient 3
Patient 4
Patient 5
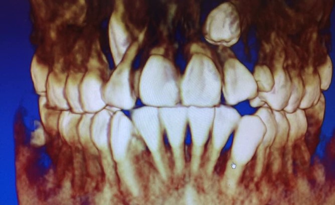
3D X-RAYS / Cone Beam CT (CBCT)
At Burlington Orthodontics, we use low radiation 3D X-rays in our practice when diagnosing patients. The 3D radiographs shown below allow us to see the following:
- Airway dimensions and possible blockage of the airway by tonsils and adenoids
- Impacted teeth that have no room to erupt properly in the jaws during developmental years
- TMJs (temporal mandibular joint) dysfunction
- Skeletal relationships between the upper and lower jaws and soft tissues
- Teeth position within the bone and gingival tissue areas










